oprm-web-case-op-st-43

Oral Pathology:  Soft Tissue Case #43

 

Directions:
To view this case click on the different case tabs below.
As you tab through the case you will see photos.  Click on each photo to see an enlargement.
When you have determined a diagnosis and treatment, select the Discussion tab.

 

Patient: Adult male.

Chief Complaint:
The patient requests treatment of a soft tissue enlargement of the palate and alveolar ridge. The patient first noticed the lesion six months ago. The lesion has been persistent and is progressively increasing in size. It is not painful and does not bleed. The patient has not received treatment for the lesion and denies trauma to the area of the lesion.

Medical History:
No abnormalities are identified.

Dental History:
The patient has missing teeth due to dental caries. His last dental treatment was ten months ago. The patient has worn a maxillary partial denture for eight years. He does not wear his denture at night. He previously had no problems with the denture, but now the denture does not fit well due to the soft tissue enlargement. The patient brushes his remaining teeth twice a day.

Clinical Findings:
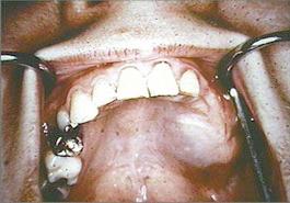
The lesion is a diffuse, exophytic, 3 x 3 cm soft tissue enlargement of the left hard palate and alveolar ridge. The lesion is firm, nontender, and fixed to the surface mucosa and underlying structures. The lesion has a smooth surface, a normal mucosal color, and does not blanch. Radiographs reveal no bony abnormalities. There is no evidence of neuropathy, and the lesion does not bleed during examination. There are no palpable lymph nodes, other palpable masses, or palpable areas of tenderness.

Clinical Image
enlargement of palate and alveolar ridge
Enlargement of Palate and Alveolar Ridge

 

There are no radiographs available for this case.

There are no lab reports available for this case.

There are no charts available for this case.

Summary:
A denture-wearing patient complains of a soft tissue enlargement of the left hard palate and alveolar ridge of six months duration.  The lesion is persistent, nonpainful, does not bleed, and is progressively increasing in size.  The lesion is localized but not well circumscribed.  It is a firm, nontender, exophytic, 3 x 3 cm soft tissue enlargement that is fixed to the surface mucosa and underlying structures.  It has a smooth surface, a normal mucosal color, and does not blanch.  Radiographs reveal no bony abnormalities and there is no evidence of neuropathy.  There are no palpable lymph nodes, other palpable masses, or palpable areas of tenderness.     

Lesions to Exclude from the Differential Diagnosis:
The lesion is described as a soft tissue enlargement.  Reactive soft tissue enlargements can be excluded from differential diagnosis because the lesion in this case is persistent, progressive and asymptomatic..

Within the category of tumors, high-grade malignant tumors and soft tissue cysts can be excluded.  High-grade malignant tumors may be eliminated because the lesion is asymptomatic, covered by normal mucosa, and has not caused destruction of the underlying bone.  Soft tissue cysts can be excluded because the lesion is firm to palpation.

Within the category of benign tumors, benign epithelial lesions may be excluded because the lesion in this case has a normal mucosal surface rather than a white, rough, cauliflower-like surface. 

From the category of salivary gland tumors, papillary cystadenoma lymphomatosum can be excluded because these tumors almost always arise within major salivary glands, especially the parotid glands.    Low-grade mucoepidermoid carcinoma is unlikely because it is typically compressible.

From the category of benign mesenchymal tumors, the following lesions may be excluded.  Irritation fibroma can be excluded because the patient denies a history of trauma or irritation, and the lesion is not well circumscribed.  Epulis fissuratum can be excluded based on location.  Peripheral ossifying fibroma is unlikely because the lesion primarily involves the hard palate and appears to have originated on the hard palate and spread to the alveolar mucosa.  Rhabdomyoma may be eliminated because these occur only in areas where there is skeletal muscle and skeletal muscle is not present on the hard palate.  Peripheral giant cell granuloma, hemangioma, and pyogenic granuloma can be excluded because they are vascular; that is, they are blue to red, blanch upon pressure, and bleed easily.  In addition, pyogenic granuloma has a rapid growth rate initially.  Lymphangioma and lipoma can be excluded because they are compressible to palpation.  Lymphangioma and hemangioma are also excluded because they are present from childhood. Neuroma may be eliminated because these are painful to palpation and have a history of trauma.  Congenital epulis may be excluded because these lesions are present in infants and are located on attached alveolar mucosa.

Lesions to Include in the Differential Diagnosis:
Adenoid cystic carcinoma, acinic cell carcinoma, and polymorphous low-grade carcinoma are included in the differential diagnosis because these lesions are sometimes slowly growing and have the clinical features of a benign tumor.  The differential diagnosis also includes leiomyoma, neurofibroma, schwannoma, granular cell tumor, pleomorphic adenoma and  monomorphic adenoma.  This case illustrates the broad differential diagnosis of a lesion on the posterior lateral hard palate.

Initial Management and Final Diagnosis:
Incisional biopsy was diagnosed microscopically as adenoid cystic carcinoma

Further Management and Prognosis:
The patient was referred to an oncologist for further evaluation.  Treatment for adenoid cystic carcinoma includes surgery and sometimes radiation therapy.  Long-term prognosis is poor.