oprm-web-case-op-st-20

Oral Pathology:  Soft Tissue Case #20

 

Directions:
To view this case click on the different case tabs below.
As you tab through the case you will see photos.  Click on each photo to see an enlargement.
When you have determined a diagnosis and treatment, select the Discussion tab.

 

Patient: Adult woman.

Chief Complaint:
The patient has a toothache involving the mandibular right first and second molars of three days duration. Blisters and painful ulcers on the right side of her face and oral mucosa began this morning. Theoral ulcers bleed when she brushes her teeth. She has not noticed anything which makes the toothache or the lesions better or worse. The patient reports that the skin lesions consist of red areas with blisters on the right side of her face and the oral lesions are present on her tongue and gums.

Medical History:
No abnormalities are identified.

Dental History:
Other than the chief complaint, no abnormalities are identified.

Clinical Findings:
The skin on the right side of the face is erythematous and contains small vesicles and ulcers. Small ulcers are present on the right dorsum of the tongue, mucobuccal fold and the gingival papilla between the mandibular right central and lateral incisors. The mandibular right first and second molars and the surrounding mucosa are painful to palpation. The periapical radiograph reveals no evidence of periapical disease. The mandibular right first and second molars are responsive to pulp testing and give no evidence of pulpitis. No palpable lymph nodes are present.

Clinical Images
close-up of chin close-up of face and tongue
Close-up of Chin Close-up of Face and Tongue
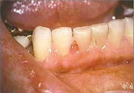
mandibular anterior teeth and gingiva right mandibular teeth and mucobuccal fold
Mandibular Anterior Teeth and Gingiva Right Mandibular Teeth and Mucobuccal Fold
close-up of right mandibular teeth and gingiva  
Close-up of Right Mandibular Teeth and Gingiva  

 

Radiograph
periapical radiograph of mandibular molars
Periapical Radiograph of Mandibular Molars

 

There are no lab reports available for this case.

There are no charts available for this case.

Summary:
This is a vesicular-ulcerated-erythematous lesion of the surface mucosa
  ~Abrupt onset of tooth pain followed by erythematous and ulcerated facial skin and ulcers of right mandibular oral mucosa

Lesions to Exclude from the Differential Diagnosis:
Hereditary
  ~Epidermolysis Bullosa
*Blisters and ulcers of the skin are consistently present beginning at birth or early childhood
*Lesions are generalized rather than unilateral
Mycotic
  ~Candidosis
*Does not occur predominantly as ulcers
*Lesions are generalized rather than unilateral
Autoimmune Disorders
  ~Lesions have gradual onset and are persistent
  ~Lesions are generalized rather than unilateral
Viral
  ~Herpangina
*Limited to posterior oral cavity: soft palate and oropharynx
  ~Varicella (Chicken Pox)
*Generalized skin rash, rather than unilateral distribution
  ~Infectious Mononucleosis
*Oral lesions, if present, are usually tonsillitis, pharyngitis, and palatal petechiae, rather than ulcers
  ~Lesions are bilateral rather than unilateral
  ~Recurrent Herpes
*Ulcers are focal rather than unilateral following the distribution of a sensory nerve
  ~Hand-foot-and-mouth disease
*Include vesicles and ulcers on the hands and feet.
*Lesions are bilateral rather than unilateral
Idiopathic lesions
  ~Exclude all Idiopathic lesions because they are not unilateral following the distribution of a sensory nerve.

Lesions to Include in the Differential Diagnosis:
Varicella Zoster (Shingles)
  ~Vesicles and ulcers are of abrupt onset and are unilateral and follow the distribution of a sensory nerve. 
  ~Note that the prodrome of painful neuralgia is unilateral following the distribution of the same sensory nerve and can simulate tooth pain.

Management:
Explain to the patient the nature of the disease and risks of morbidity, such as significant and persistent neuralgia.
Prescribe a systemic antiviral medication.  Valacyclovir has proven to be effective.

Final Diagnosis:
Herpes Zoster (Shingles)