oprm-web-case-op-st-23

Oral Pathology:  Soft Tissue Case #23

 

Directions:
To view this case click on the different case tabs below.
As you tab through the case you will see photos.  Click on each photo to see an enlargement.
When you have determined a diagnosis and treatment, select the Discussion tab.

Patient: Adolescent male.

Chief Complaint:
The patient complains of recurrent, painful oral mucosal ulcers that have occurred on nonkeratinized surfaces and heal within three to six weeks with evidence of scarring. The lesions have not responded to antibacterial or antimycotic medications.

Medical History:
The patient has poorly controlled, insulin dependent diabetes mellitus. He reports recent weight loss.

Dental History:
Routine regular care.

Clinical Findings:
Ulcers with evidence of submucosal scarring are present on the inner surface of the upper and lower lips.

Clinical Images
lower left labial vestibule and lip</p>
<p> lower right labial vestibule and lip with ulcers
Lower Left Labial Vestibule and Lip Lower Right Labial Vestibule and Lip with Ulcers
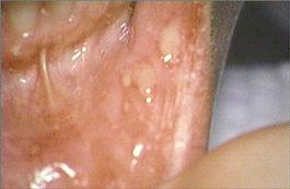
upper labial vestibule and lip  
Upper Labial Vestibule and Lip  

 

There are no radiographs available for this case.

There are no lab reports available for this case.

There are no charts available for this case.

Summary:
The patient has recurrent oral ulcers which heal in 3-6 weeks with scarring.

Lesions to Exclude from the Differential Diagnosis:
Epidermolysis bullosa
  ~Lesions begin at birth or early childhood.
  ~Lesions of the skin are consistently present.
Viral infections
  ~Do not recur and heal persistently, except for recurrent herpes.
*Recurrent herpes involves keratinized mucosal surfaces.
Mycotic
  ~Lesions are predominantly white plaques and/or erythematous mucosa rather than ulcers.
  ~Do not recur and heal persistently.
Autoimmune Lesions
  ~Don’t demonstrate continued recurrence with complete healing in a consistent amount of time.
Idiopathic Diseases
  ~Epithelial Dysplasia, Carcinoma-in-situ, and Squamous Cell Carcinoma
*Clinical appearance is erythroplakia and/or leukoplakia with minimal formation of ulcers
*Lesions are persistent rather than recurrent, and each lesion does not heal predictably.
  ~Erythemal Multiforme
*Lesions occur on both keratinized and nonkeratinized mucosal surfaces.
*Each ulcer does not heal in a consistent amount of time.
*Skin lesions (target lesions) are sometimes present but do not occur in all patients.
  ~Lichen Planus, Medication-induced mucositis, and contact stomatitis
*Lesions are chronic rather than recurrent.
*Lesions do not recur and heal in a consistent amount of time.
*Lesions do not heal with scarring.

Lesions to Include in the Differential Diagnosis:
Aphthous Ulcers (because of the severity of this case, it is considered Major Aphthous)
  ~Abrupt onset
  ~Resolve in a consistent amount of time for each patient     
  ~Ulcers occur on non-keratinized mucosal surfaces
  ~Skin lesions not present

Management:
Explain to the patient the nature of the disease, that there is no cure, and that the goal of treatment is to control the ulcers.

Aphthous ulcers are most commonly treated initially with topical corticosteriods (example: triamcinolone acetonide, 0.1% or 0.2% mouthrinse).

For patients with major aphthae who have constantly forming new lesions (as in this case), a short burst of systemic corticosteroids may be helplful, but the patient’s diabetes mellitus contraindicated using systemic corticosteroids.

Final Diagnosis:
Aphthous Ulcers, occurring as major aphthous stomatitis